العمانية-أثير
أجرى فريقٌ طبي متخصص بمركز السُّلطان قابوس المتكامل لعلاج وبحوث أمراض السرطان أول عملية على مستوى الشرق الأوسط لزراعة البذور المشعة لعلاج سرطان البروستات، والتي تعد خيارًا علاجيًّا مفضلًا للقضاء على سرطان البروستات.

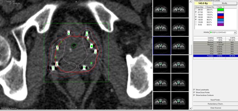
واستمرت العملية لساعتين غُرست خلالها 82 بذرة مُشعة في المريض وأجراها الدكتور نديم برفاز، استشاري أول علاج بالإشعاع بالمركز بوجود طاقم متخصص من أطباء العلاج الإشعاعي وأطباء التخدير والفيزيائيين الطبيين والممرضين.
وقال الدكتور نديم برفاز استشاري أول علاج بالإشعاع: إن عملية زراعة البذور المشعة في البروستات للمعالجة الكثبية الموضعية ذات الجرعات المنخفضة لعلاج سرطان البروستات تعدُّ خيارًا علاجيًّا مفضلًا، لتركز العلاج في منطقة صغيرة دون التأثير على الأعضاء والأنسجة المجاورة مقارنةً مع العلاج الإشعاعي بالأشعة الخارجية الذي يتم فيه تسليط الإشعاع من خارج الجسم وفي عدد من الجلسات.
ووضح أنّ عملية زراعة البذور المشعة تتم في جلسة واحدة فقط حيث تغرس البذور داخل البروستات مباشرة ولم يكن الخيار العلاجي متاحًا في منطقة الشرق الأوسط، وبهذه العملية أصبح للمركز السبق في بدء هذا العلاج.
وبيّن أنّ عملية زراعة البذور المشعة تقوم على غرس مصادر مشعة (بذور) في البروستات لتبعث جرعة منخفضة ومتواصلة من الإشعاع خلال فترة زمنية محددة، لتدمير خلايا البروستات وبذلك يتم القضاء على الخلايا السرطانية نهائيًّا، بينما تتجدد الخلايا السليمة وتعود إلى طبيعتها بسهولة مع مرور الأيام.
وأشارت إقبال بنت عبدالله العامرية اختصاصي أول فيزياء طبية إلى أن هذا العلاج يقدم للمرضى المستوفين لاشتراطات صحية وبدنية معينة، كما يتطلب مستوى عاليًا من الخبرة وقياسات ضمان الجودة من قبل الطاقم الطبي والفيزيائيين الطبيين في المركز، إلى جانب تقديم إرشادات التغذية والسلامة اللازمة للمريض قبل العملية وبعدها.
وأضافت: “بعد إفاقة المريض والتأكد من صحته يتم السماح له بالخروج من المستشفى مباشرة فهذا الإجراء لا يتطلب تنويم المريض، ويمكنه العودة إلى العمل أو ممارسة الأنشطة اليومية العادية في غضون بضعة أيام مع الالتزام بعدد من احتياطات السلامة، منها ترك مسافة أمان (متر واحد من الأطفال والحوامل) خلال 60 يومًا بعد العملية والمواظبة على الحضور لمواعيد المتابعة الدورية”.
وأكّد الدكتور زاهد بن عبدالله المنذري رئيس قسم العلاج الإشعاعي للأورام على مواصلة جهود المركز في تقديم أحدث تقنيات العلاج الإشعاعي، واستقطاب أفضل الخبرات وتطبيق الممارسات الدولية لتقديم الرعاية المتكاملة بمعاييرها العالمية للمواطنين والمقيمين في مختلف مراحل العلاج، التي تقوم على أنظمة وخدمات طبية تقنية حديثة، وخدمات وقائية وعلاجية ذات جودة عالية.





